Dr. Ahmed Abdullah Badr

Dr. Ahmed Abdullah Badr Master's in Dental Implants and Aesthetics, Cairo University (Kasr Al-Ainy)

Dentist specializing in adult dentistry, cosmetic dentistry, fillings and root canal treatment, gum treatment, dental implants, children's dentistry, maxillofacial surgery, orthodontics, dental prostheses, elderly dentistry, and dental x-rays.

Badr Center for Dental Treatment, Cosmetic, Implant and Orthodontics

Badr Center for Dental Treatment, Cosmetic, Implant and Orthodontics More than 30 consultants and specialists in the field of dentistry, surgery, orthodontics and dental implants [Integrated medical team] - Specialists in fixed and removable prostheses / Children's dental treatment / Dental surgery and complete jaw rehabilitation / Root canal treatment with the latest equipment / Specialized in modern fillings manufactured with the latest international technologies and modern fixed dental prostheses at the appropriate time / Jaw and teeth surgery (wisdom teeth) / Full jaw implant / Immediate implant Special rooms for sterilization devices. - Dental treatment in one session under general anesthesia - Installment available

Best dental services in Egypt

Certified dentists committed to excellence

We are a team of 25 certified dentists, dedicated to providing the best dental treatments in the city. With over 35 years of experience, we master the art of providing the best solutions using the latest technologies.

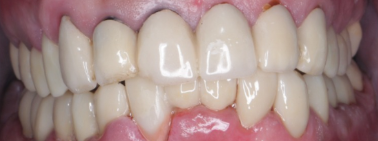
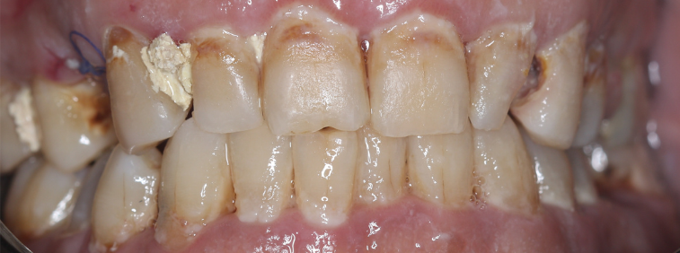
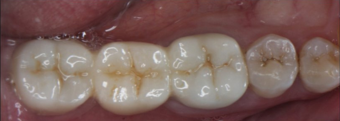
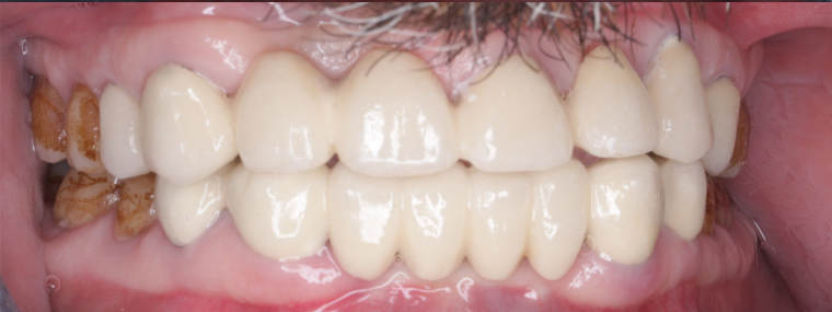
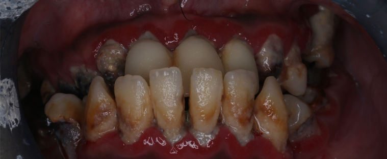
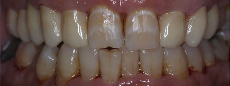
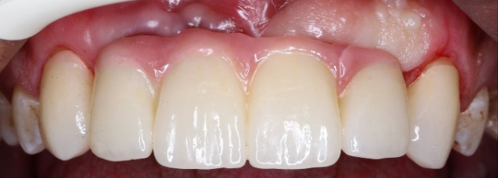
Before imageAfter image
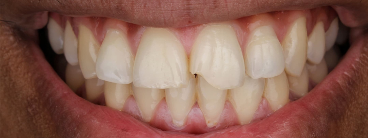
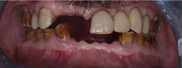
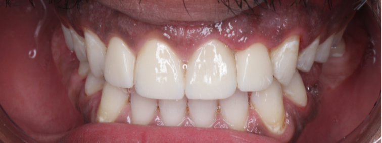
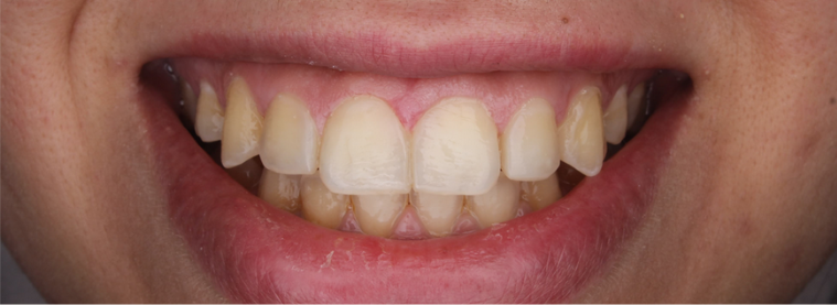
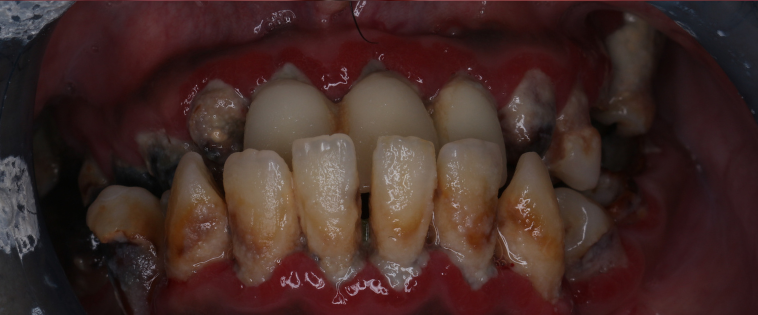
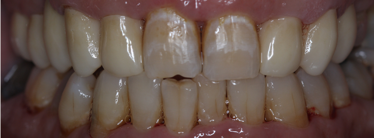
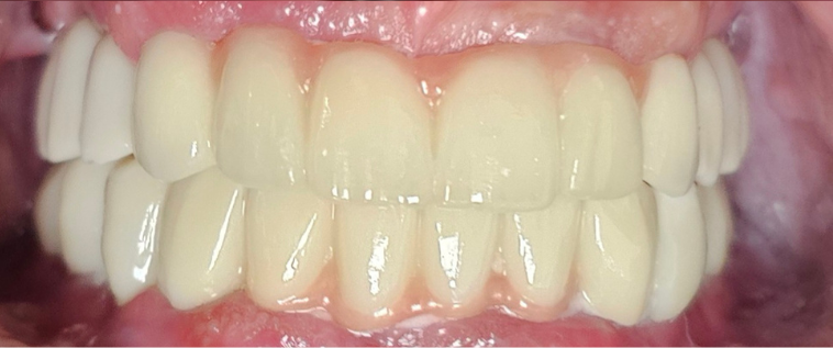
Before imageAfter image
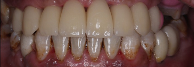
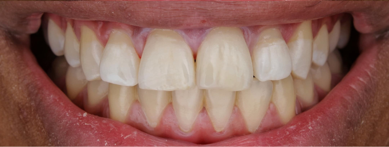
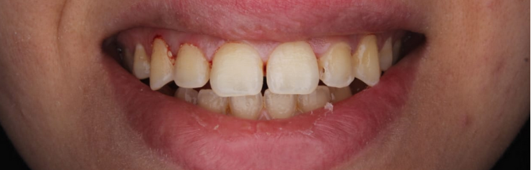
Before imageAfter image
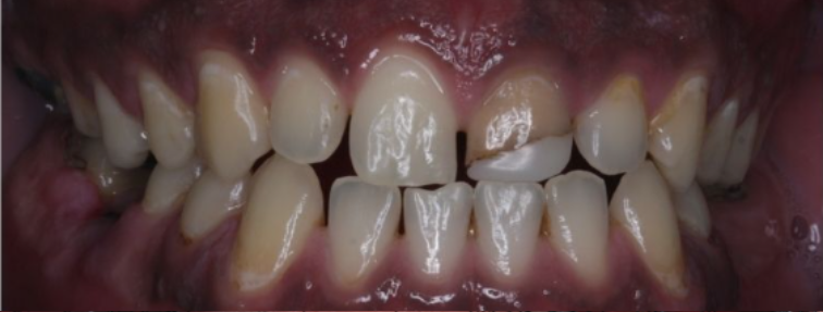
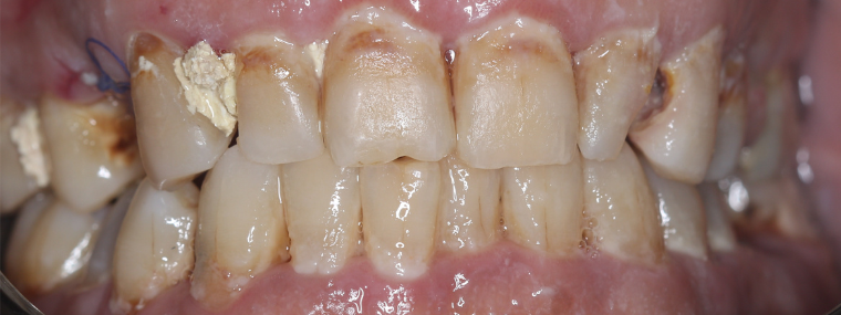
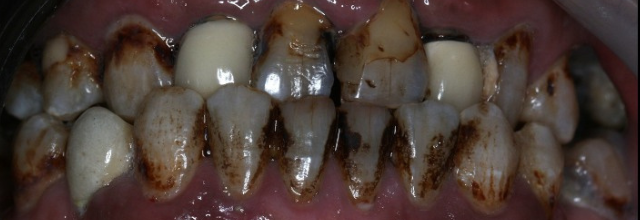
Before imageAfter image
Before imageAfter image
Before imageAfter image
Before imageAfter image
Before imageAfter image
Before imageAfter image
Before imageAfter image
Before imageAfter image
Before imageAfter image
Before imageAfter image
Before imageAfter image
Before imageAfter image
Before imageAfter image
Before imageAfter image
Before imageAfter image
Before imageAfter image
Before imageAfter image
Before imageAfter image

No posts found!

Our clients

We offer immediate solutions as a dentist in Egypt with a 5-year warranty on all implant and cosmetic procedures.



    معلومات الحجز





    بيانات المريض





    التحقق الآمن

    لضمان تجربة آمنة، يرجى إكمال التحقق من أنك لست روبوت

    ملاحظة هامة: بعد الضغط على الزر، سيتم فتح تطبيق واتساب تلقائيًا لإرسال طلبك

    تأكد من وجود واتساب مثبت على جهازك